


Uma abordagem moderna, personalizada e conservadora, com zero desgaste da estrutura dentária ou o mínimo necessário para criar sorrisos harmoniosos e naturais. Aliando arte, ciência e tecnologia em cada etapa e cada detalhe do processo.
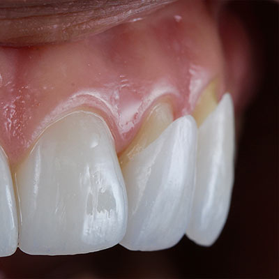
As lentes de contato dentais em porcelana são finas camadas de cerâmica aplicadas sobre a superfície dos dentes para corrigir uma variedade de imperfeições estéticas, como manchas, descoloração, desalinhamento, espaçamento irregular e até mesmo para melhorar a forma e o tamanho dos dentes. Elas são feitas sob medida para se ajustarem perfeitamente aos dentes naturais, proporcionando uma aparência natural e duradoura. Essas lentes são conhecidas por sua resistência às manchas e pela capacidade de imitar a translucidez dos dentes naturais, criando um sorriso harmonioso e brilhante. Com preparos mínimos e até mesmo inexistentes em algumas regiões, seguido de aplicação cuidadosa e precisa das lentes de contato em porcelana, alcançamos resultados extraordinários, restaurando não apenas a estética, mas também resgatando autoestima e confiança do paciente.

Tecnologia de ponta para visualizar os resultados potenciais do seu tratamento antes mesmo de começar. Aliando agilidade e precisão.
Conheça o poder do Planejamento Digital do Sorriso (DSD - Digital Smile Design) e permita a transformação do seu sorriso de maneira personalizada e precisa. Utilizando tecnologia avançada e técnicas inovadoras, o DSD permitirá alcançar a melhor versão do seu sorriso, levando em consideração suas características faciais únicas, proporções dentais e suas preferências estéticas. Este processo interativo permite uma visualização detalhada do resultado final antes mesmo de iniciar qualquer procedimento, garantindo que você realize o test drive do novo sorriso em material provisório e participe das escolhas até estar completamente satisfeito com o resultado. Com o Planejamento Digital do Sorriso, podemos alcançar um sorriso deslumbrante e harmonioso, que reflete sua personalidade e melhora sua autoconfiança. Descubra como o DSD pode transformar o seu sorriso e elevar sua experiência odontológica a um novo nível de excelência.

Tratamentos de alto nível para cosmética dental, clareamentos e facetas para um sorriso brilhante e jovial.
Explore o mundo da Estética Dental e descubra como podemos transformar seu sorriso em uma obra-prima personalizada. Oferecemos uma variedade de tratamentos para atender às suas necessidades estéticas, desde clareamentos dentais que iluminam seu sorriso até restaurações, facetas e coroas estéticas que restauram a beleza e a função dos seus dentes. Se você busca por um sorriso perfeitamente alinhado e simétrico, nossas facetas de porcelana podem criar uma aparência natural e deslumbrante. Com a Estética Dental, você pode alcançar um sorriso radiante e confiante que reflete sua verdadeira beleza. Descubra como podemos ajudá-lo a obter o sorriso dos seus sonhos e desfrutar de uma autoestima renovada

Serviços de alta qualidade em clareamento dental, facetas de porcelana e bonding para um sorriso brilhante e jovial.
Explore o mundo das próteses dentárias e descubra uma solução personalizada para restaurar a função e a estética do seu sorriso. As próteses dentárias são dispositivos projetados para substituir dentes ausentes e restaurar a aparência natural da boca. Com avanços tecnológicos e materiais de alta qualidade, as próteses modernas oferecem conforto, durabilidade e uma aparência natural. Seja uma prótese parcial removível, uma prótese total convencional ou uma prótese sobre implante, nossa equipe está comprometida em fornecer uma solução sob medida para suas necessidades específicas. Com as próteses dentárias, você pode recuperar a capacidade de comer, falar e sorrir com confiança. Descubra como podemos ajudá-lo a restaurar a função e a beleza do seu sorriso com as próteses dentárias de alta qualidade e precisão.

Uma visão multidisciplinar para recuperação da saúde bucal de forma integral, combinando função e beleza.
Conheça os benefícios da Reabilitação Oral Completa e transforme sua saúde bucal e qualidade de vida. A Reabilitação Oral Completa é um processo abrangente que visa restaurar a função, estética e saúde bucal como um todo. Combinando diversas especialidades odontológicas, como implantodontia, prótese dentária, endodontia e ortodontia, nosso objetivo é proporcionar uma solução completa para pacientes com múltiplos problemas dentários. Por meio de um plano de tratamento personalizado, trabalhamos em conjunto para restaurar a função mastigatória, corrigir problemas estéticos e devolver o equilíbrio à sua saúde bucal. Com a Reabilitação Oral Completa, você pode desfrutar de um sorriso saudável, funcional e esteticamente atraente. Descubra como podemos ajudá-lo a alcançar uma transformação completa da sua saúde bucal e resgatar sua confiança no sorriso.

Programas personalizados de manutenção e prevenção para assegurar a longevidade dos resultados e a saúde contínua do seu sorriso.
Entenda a importância da manutenção da saúde bucal para garantir um sorriso bonito e saudável ao longo da vida. A manutenção da saúde bucal é fundamental para prevenir cáries, doenças gengivais e outros problemas dentários, além de promover uma boa saúde geral. Recomendamos visitas regulares ao dentista para limpezas profissionais, exames odontológicos e orientações sobre higiene oral adequada. Além disso, incentivamos práticas diárias de cuidados em casa, como escovação adequada e uso de fio dental. Com uma abordagem preventiva e cuidados contínuos, você pode manter seu sorriso brilhante, sua saúde bucal em dia e longevidade dos tratamentos. Descubra como podemos ajudá-lo a manter sua saúde bucal em excelentes condições e desfrutar de um sorriso bonito e saudável por muitos anos

Descubra os benefícios do Botox e da Harmonização Facial para realçar sua beleza natural e conquistar uma aparência rejuvenescida e harmoniosa.
O Botox é uma técnica segura e eficaz que reduz rugas e linhas de expressão, proporcionando uma pele mais lisa e jovem. Já a Harmonização Facial é um conjunto de procedimentos estéticos que visa equilibrar as proporções faciais, melhorar a simetria e ressaltar os traços mais atraentes do rosto. Combinando essas técnicas, nossos especialistas podem criar um plano de tratamento personalizado para atender às suas necessidades estéticas específicas. Seja suavizando rugas, realçando os lábios, definindo o contorno facial ou corrigindo imperfeições, estamos comprometidos em ajudá-lo a alcançar uma aparência mais jovem e harmoniosa. Descubra como o Botox e a Harmonização Facial podem transformar sua aparência e elevar sua autoestima.

Explore os diversos campos da odontologia e descubra soluções personalizadas para suas necessidades bucais.
Desde tratamentos de canal com a Endodontia até a correção dos desalinhamentos dos dentes com o revolucionário aparelho Invisalign. Nossa equipe de especialistas está comprometida em oferecer cuidados abrangentes e de alta qualidade. Se você sofre de bruxismo, conheça os recursos como placa de bruxismo, o qual pode ajudar a proteger seus dentes e aliviar os sintomas associados ao ranger noturno. Independentemente das suas necessidades odontológicas, estamos aqui para ajudá-lo a alcançar um sorriso saudável e bonito. Descubra como nossos tratamentos personalizados podem melhorar sua saúde bucal e sua qualidade de vida.














Seja bem vindo ao consultório Dra. Rochele Rossetto, onde a paixão pela odontologia reflete na arte de criar sorrisos deslumbrantes. Graduada pela ULBRA em 2007, Especialista em Prótese e Reabilitação Oral pela SOBRACID, e capacitada com inúmeros cursos renomados de Lentes de contato dental, Dra. Rochele é referência na área estética em Porto Alegre.
Nosso destaque é o Método RR Smiles, baseado em técnicas consagradas e desenvolvido com exclusividade em 4 etapas para alcançar o sorriso dos sonhos de forma personalizada. As etapas: 1. Protocolo fotográfico e escaneamento das arcadas 2. Planejamento digital e test drive do novo sorriso 3. Peparos e escaneamento 4. Cimentação final das lentes
Desde o primeiro encontro, nossa prioridade é compreender suas necessidades e desejos, planejando juntos, o caminho para alcançarmos a melhor versão do seu sorriso. Aqui, você irá perceber que não medimos esforços para conquistar a excelência, porque entendemos que cada detalhe faz toda a diferença para atingir resultados incríveis.
Nosso compromisso visa não apenas superar suas expectativas estéticas, mas cuidar da sua saúde bucal de forma integral, e alcançar durabilidade do tratamento a longo prazo. Nossa missão vai além de transformar seu sorriso, conte conosco para redescobrir uma nova vida, repleta de confiança, autoestima e felicidade.
Nosso consultório foi cuidadosamente projetado para oferecer acolhimento e uma agradável experiencia, juntamente com tecnologia de ponta para garantir uma odontologia de alta performance. Investimos constantemente no que há de mais avançado em termos de equipamentos e materiais. Nosso grande diferencial está no scanner intraoral, que substitui as moldagens convencionais e promove mais conforto, precisão e agilidade nos tratamentos.

Cada sorriso que transformamos no nosso consultório carrega uma história única de renovação e autoestima. Estas histórias de sucesso são um testemunho do nosso compromisso com a excelência e o impacto positivo que um sorriso pode ter na vida de uma pessoa.






![]()
16/04/2024
Drª Rochele é uma excelente profissional! Além de ser muito atenciosa e carinhosa com seus pacientes! Super indico!❤️❤️❤️![]()
04/04/2024
Excelente!! Dra. Rochele é uma profissional muito competente, dedicada e detalhista. Referência em lentes de contato. Recomendo!![]()
02/04/2024
Minha experiência foi maravilhosa! Sempre tive incômodos com meu sorriso. Não gostava do formato e da cor dos meus dentes, além de vários problemas e sensibilidade. A Dra Rochelle tem um trabalho incrível e deixou meu sorriso como sempre quis, melhorando minha mordida e minha autoestima! Super recomendo!!!![]()
15/03/2024
Gostaria de agradecer por todo o tratamento e pelo excelente atendimento desta profissional. Confesso que inicialmente estava um pouco em dúvida com o resultado prometido mas o resultado final me surpreendeu! Foi uma verdadeira transformação no meu sorriso . Adorei todo o processo e tenho certeza que a Dra. Rochele🩷além de de ser uma profissional 👏👏100%👏👏 é uma pessoa muito💗 especial e querida💗![]()
10/11/2023
Coloquei minhas lentes de contato com ela, foi extremamente profissional, me auxiliou em tudo antes para que o resultado fosse de excelência! Fiz várias consultas para chegar no resultado final, e ela super paciente para que eu ficasse satisfeita e amando como de fato estou!![]()
08/11/2023
Um trabalho de extrema excelência, minha sogra Lu fez e acompanhei tudo. Amei muito as lentes de contato dental dela, ficaram lindas demais e deixou minha sogra muito mais linda do que já era. Com certeza teu trabalho Dra transforma vidas 😍, parabéns pela dedicação e excelência que promete cumpre! As minhas lentes já estão agendadas ❤️![]()
18/10/2023
A melhor das melhores nas lentes de contato dental! Indico 100%![]()
18/10/2023
Minhas lentes de contato dental ficaram incríveis, superou minha expectativa, amo meu sorriso, e também indico o trabalho da Dra rochelle, pois realmente confio. Uma referência na área.![]()
17/10/2023
Fui um dos primeiros pacientes a colocar lentes de contato dental com a Dra Rochele, o que simplesmente foi um divisor de águas em minha vida. Muitas portas se abriram, além de ter elevado em muito a minha autoestima. O trabalho provou ser duradouro, se mantendo com a mesma qualidade de quando foi realizado! Já são mais de 5 anos com as lentes e nunca tive problemas com manutenção ou retrabalho. Simplesmente demais! Obrigado, querida Dra Rochele![]()
07/09/2023
O consultório é muito acolhedor, assim como toda a equipe , a Dra Rochele tem mãos de fada! Me sinto muito segura em ser atendida por essa profissional qualificada e cheia de carisma.














em frente ao Shopping Iguatemi - Porto Alegre/RS